矯正を専門に行う歯科医師による
安心な治療
当院の院長は、大学卒業後に歯科矯正学講座大学院で矯正歯科を専門的に学び、現在でも様々な臨床経験を積んでいるドクターです。
歯並びを治したい、困っているという方は、一度ワイズ会に相談にいらっしゃいませんか?
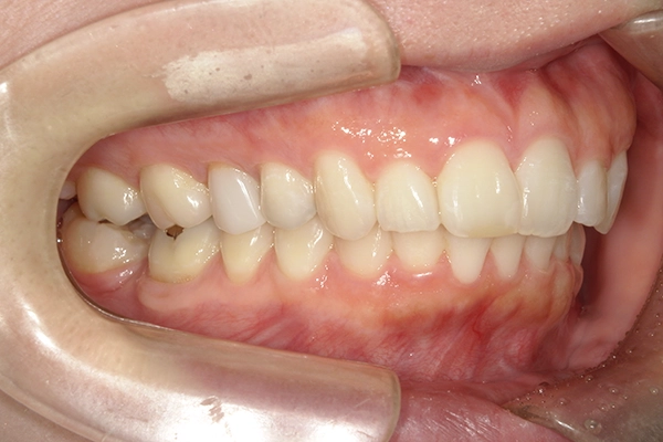
初診時の写真。前歯が出ているのが分かります。
部分矯正後の写真。綺麗な歯並びになりました。
やや出っ歯気味になっていた上の前歯を後ろに引っ込めたいと悩まれていました。
また、その際の矯正方法は目立たない「裏側による部分矯正」で治したいと希望されていました。
患者様の初めからのご希望では、可能であれば裏側の部分矯正をしたいとご希望だったため、まずはそれが可能かどうか精密検査を行いました。
当院にてカウンセリング・検査後、抜歯は親知らず1本、装置は前歯6本と奥歯2本の計8本に装着、と診断させていただき、結果として裏側の部分矯正での治療は可能だとお話ししました。
ひどい歯並びの場合部分矯正で無理に治療すると噛み合わせのバランスを崩してしまい、最悪口腔内だけではなく全身の健康状態に悪影響を及ぼしかねません。そのため事前にしっかりと精密検査を行うのです。
矯正治療を行う上で、必ずというわけではありませんが歯のスペースを確保するためにディスキング(歯と歯の間を影響ない程度に削ること)を行う必要があります。
その場合は患者様の同意をいただいた上で行いますので、ご安心ください。
今回の治療では健康な歯は抜歯していません。
抜歯したのは親知らず一本のみです。
小さい時にぶつけてしまった影響で上の前歯が出てきてしまったとのことで気にされていましたが、ご希望だった裏側の部分矯正で目立たずに短期間で治療が終了できたため、ご満足いただくことができました。
無事治療が終了したのも、しっかりと定期的なチェックに通っていただけたお陰です。
左が治療前で、右が治療した後の写真です。
| 治療内容 | 裏側(舌側)の部分矯正 |
|---|---|
| 期間 | 8ヶ月 |
| 通院回数 | 8回 |
| 抜歯の有無 | 親知らずを一本抜歯 |
| 費用 | 32万円(税抜) |
| リスク | 歯根吸収、歯肉退縮 |
症例一覧に戻る場合はこちらをクリックください。

当院の院長は、大学卒業後に歯科矯正学講座大学院で矯正歯科を専門的に学び、現在でも様々な臨床経験を積んでいるドクターです。
歯並びを治したい、困っているという方は、一度ワイズ会に相談にいらっしゃいませんか?

| 診療時間 | 月 | 火 | 水 | 木 | 金 | 土 | 日 |
|---|---|---|---|---|---|---|---|
| 12:00-15:00 | ● | ● | ● | ● | ● | ◎ | |
| 16:00-20:00 | ● | ● | ● | ● | ● | ◎ |
休診日:木曜・第4日曜・祝日 ◎:矯正のみ
毎週日曜は「矯正治療」の診療のみです
JR板橋駅東口より徒歩1分の歯医者TEL.03-5944-5549ワイズ板橋歯科・おとなこども矯正歯科
〒170-0012
東京都豊島区上池袋4丁目47−4
リレント上池袋パート1 104 パート Ⅱ

| 診療時間 | 月 | 火 | 水 | 木 | 金 | 土 | 日 |
|---|---|---|---|---|---|---|---|
| 11:00-14:00 | ● | ● | ● | ● | ● | ◎ | |
| 15:00-19:00 | ● | ● | ● | ● | ● | ◎ |
休診日:木曜・祝日 ◎:矯正のみ
毎週日曜は「矯正治療」の診療のみです
JR立川駅南口より徒歩3分の歯医者TEL.042-506-1770立川ワイズ歯医者・歯並びの矯正歯科
〒190-0023
東京都立川市柴崎町3丁目10−20
立川渡辺ビル2F