2院
板橋1分・立川3分


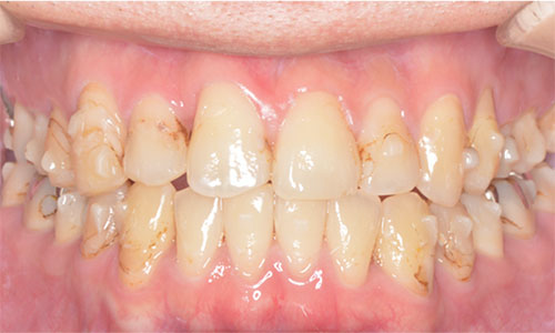
上と下の歯がガタガタ、上下顎正中のズレを気にされていました。
できれば抜歯をしたくないと強い希望がありました。かつ目立ちづらい装置を希望されました。
取り外し可能なマウスピースにて矯正治療を行いまいた。
マウスピースにて上下顎歯列幅の拡大と歯に影響ない程度にわずかに削りました(0.3〜0.4㎜)






ワイヤー矯正では、抜歯をしないと治療が困難かもしれないケースでした。
抜歯せずにキレな歯並びと噛み合わせもしっかり治せました。詰め物が目立つため、今後は引き続き綺麗に詰め物を治療していく予定です。
| 期間 | 16ヶ月 |
|---|---|
| 通院回数 | 6回 |
| 費用 | ¥750,000 |
| 抜歯 | 非抜歯 |
| 治療内容 | マウスピース型矯正装置(インビザライン)による全体矯正 |
| リスク | 歯根吸収、歯肉退縮、知覚過敏、ディスキング |