東京でマウスピース型矯正装置(インビザライン)
2院
板橋1分・立川3分
HOME
当院について
ドクター紹介
ワイズ会の特長
矯正治療について
マウスピース型矯正装置(インビザライン)について
治療の流れ
よくある質問
医院情報・アクセス
子どものマウスピース矯正
症例集
料金表
下記に多くの症例を掲載しています。患者様の悩み事にまとめていますので、矯正治療を検討している方はぜひ興味のある症例をご覧ください。
※各症例には治療費が掲載されておりますが、金額は治療当時のものになります。現在とは異なる場合がございますので、料金表ページをご確認ください。
歯磨きがとてもしにくいので治したい。
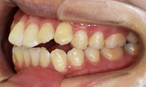
八重歯とでこぼこした歯がとても気になる。
前歯が内側に入り込み、歯並びが悪い。
前歯のガタガタと八重歯が気になる。
マウスピースで綺麗に治したい。
上下の前歯のガタガタを短期で改善。
前歯のガタガタ、特に八重歯を治したい。
下の前歯のガタガタを部分矯正で治した症例
上下の前歯がガタガタしていた症例
上の歯の1番と1番の隙間が気になる。
噛んだ状態でもちゃんと口が閉じない。
下の歯が見えないほど噛み合わせが深い。
前歯が反対に噛んでいるのが気になる。
上下の前歯が反対に噛んでいる。
上の1番の前歯ねじれており治したい。
他院で断られた難症例を解決した症例。
抜歯を伴う難症例を解決した症例。
まずは相談だけでもしてみませんか?
矯正治療の料金や技量・技術、扱っている矯正装置の種類は歯科医院によって異なります。矯正治療は期間が長い治療なので、通いやすい雰囲気かどうかも重要です。ですので、歯科医院を選ぶ際は、ぜひいくつかのクリニックに実際に足を運んでみてください。
※ご相談は矯正相談のみになります