2院
板橋1分・立川3分


当初、患者様からのご希望はありませんでしたが、できるだけ早く治したいとのことで、それが実現できるなら当院に治療手段はすべてお任せしますとのことでした。
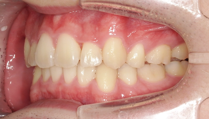
当院にてカウンセリング・検査後、上左右2本、左下1本の計3本と診断させていただき、マウスピース型矯正装置(インビザライン)での治療をご提案しました。
マウスピース矯正を提案した理由はシンプルで、マウスピース矯正が適用可能であったこと、そして目立たずに治療できる上に本ケースのおいてはワイヤー矯正よりも短期間で終了できると検査にて判断できたことが理由になります。
治療において下記のような必要性があります。
これらは治療前に詳細に患者様に説明し、ご納得していただいたうえで治療を開始します。
矯正相談
当院では矯正治療を検討されている患者様に対してカウンセリング(相談会)を行なっています。矯正精密検査
治療を行う前に精密検査を行います。これにより抜歯の本数だったり正確な治療期間だったりを知ることが可能になります。クリンチェック作製
クリンチェックとは、型取りを行なった歯型のデータや治療計画などに基づいて行う「矯正治療のシミュレーション」の事です。4番の抜歯(3本)
顎が小さい場合に無理にすべての歯を並べてしまうと、歯がぎゅうぎゅう詰めになりかえって逆効果です。インビライン
マウスピースが届いたら、矯正治療スタートです。メンテナンス
マウスピース型矯正装置(インビザライン)による矯正治療が終了したら、綺麗になった歯並びが後戻りしないように、定期的にメンテナンスに通っていただきます。









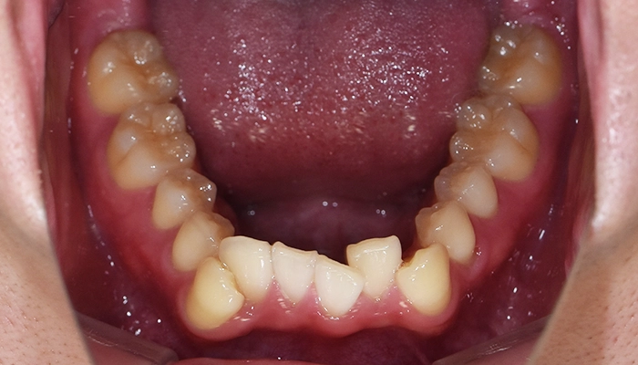
今回の治療では上の両側4番目の歯と、左下の4番目の歯の計3本を抜歯しました。
ワイヤーだと片側抜歯を行うと正中のラインが抜歯した方向へ流れてしまうことがありますが、今回はマウスピース型矯正装置(インビザライン)で行ったため、そのような反作用は生じませんでした。
しっかりと定期的なチェックに通っていただけたお陰です。
| 期間 | 24ヶ月 | 
|---|---|
| 通院回数 | 10回 | 
| 費用 | ¥840,000 | 
| 抜歯 | 4番を3本抜歯 | 
| 治療内容 | マウスピース型矯正装置(インビザライン)による全体矯正 | 
| リスク | 歯根吸収、歯肉退縮、知覚過敏、ディスキング |