2院
板橋1分・立川3分


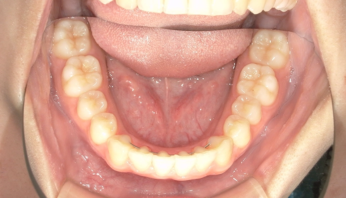
上下前歯のガタガタした歯並び、特に左上の八重歯が気になるとのことで当院に来院されました。
装着する矯正装置に希望は特にないが、なるべく治療期間を短くしたいとのことでした。
実は当院に来る前に他の矯正歯科でカウンセリングを受診されたそうです。
そこでは治療期間が6年はかかると言われ、あまりにも長い治療期間にひどく悩み、わらにもすがる思いで当院にセカンドオピニオンとしてご来院されました。
当院にてカウンセリング・検査をしたところ、一本だけ抜歯をする必要がありますが、マウスピース型矯正装置(インビザライン)にてもっと短く矯正治療を完了することは十分可能だとお話しいたしました。
治療において下記のような必要性があります。
これらは治療前に詳細に患者様に説明し、ご納得していただいたうえで治療を開始します。
矯正相談・カウンセリング
当院では矯正治療を検討されている患者様に対してカウンセリング(相談会)を行なっています。矯正精密検査
実際の患者様のお口の状況を知るために、口腔内写真、顔面写真、レントゲン撮影、上下顎模型印象、噛み合わせ確認、歯周病検査、デジタル印象などを行なっていきます。4番の抜歯(1本)
顎が小さい方は歯列が綺麗に並ぶためのスペースが十分にない(不足している)ため、ガタガタした歯並びになりやすく、特に女性にその傾向があります。クリンチェック作製
クリンチェックとは、型取りを行なった歯型のデータや治療計画などに基づいて行う「矯正治療のシミュレーション」の事です。マウスピースをセット
マウスピースが届いたら、矯正治療スタートです。メンテナンス
マウスピース型矯正装置(インビザライン)による矯正治療が終了したら、綺麗になった歯並びが後戻りしないように、定期的にメンテナンスに通っていただきます。









治療期間を2年で終えることができました。
もし仮にマウスピース型矯正装置(インビザライン)ではなく、ワイヤー矯正で行っていた場合でも他院で診断された6年より短くすることは可能ですが、今回より3ヶ月ほど長引く可能性がありました。
ですので、本ケースにおいてマウスピース型矯正装置(インビザライン)は患者様のご要望に適した治療法だったと言えます。
またこの結果は、患者様がしっかりと定期的なチェックとメンテナンスに通っていただいたおかげでもあります。
上の片側4番目の歯を1本(あと本人の希望で親知らずも)抜歯しましたが、その他の健康な歯は抜歯していません。
ワイヤー矯正の場合、片側抜歯を行うと正中のライン(真ん中を通るラインのこと)が抜歯した方向へ流れてしまうことがありますが、今回は熟練した矯正医の元マウスピース型矯正装置(インビザライン)を行ったため、そのような反作用は生じませんでした。
| 期間 | 24ヶ月 |
|---|---|
| 通院回数 | 10回 |
| 費用 | ¥800,000 |
| 抜歯 | 4番のみ1本抜歯 |
| 治療内容 | マウスピース型矯正装置(インビザライン)による全体矯正 |
| リスク | 歯根吸収、歯肉退縮、知覚過敏、ディスキング |