2院
板橋1分・立川3分




来院当初の患者様の強い要望として「可能であればマウスピース矯正で治療したい」とのことでした。
他院でのカウンセリングをされた際にワイヤーでないと困難と診断され、さらには抜歯が上下顎左右1本ずつ(合計4本)と言われ、そのクリニックで矯正治療を受けるかどうか、
そして自分はマウスピース矯正で矯正治療を受けられるのか、と悩まれていたそうです。
当院にてカウンセリング・検査を行い精密に診断したところ、ご希望通りマウスピース型矯正装置(インビザライン)で矯正治療を行うことは可能だと判断できたため、患者様にそのようにお伝えしました。
さらには、担当する矯正医(当院長 Dr.鈴木)がこれまで経験した知見から、抜歯本数も4本ではなく、1本だけの抜歯で抑えられることも精密検査にて判断できたため、その事も患者様にお伝えしました。
治療において下記のような必要性があります。
これらは治療前に詳細に患者様に説明し、ご納得していただいたうえで治療を開始します。
矯正相談・カウンセリング
当院では矯正治療を検討されている患者様に対してカウンセリング(相談会)を行なっています。矯正精密検査
実際の患者様のお口の状況を知るために、口腔内写真、顔面写真、レントゲン撮影、上下顎模型印象、噛み合わせ確認、歯周病検査、デジタル印象などを行なっていきます。4番の抜歯(1本)
検査の結果、抜歯の本数も「1本だけで済ませることができる」と判断できたため、1本だけ抜歯しました。クリンチェック
クリンチェックとは、型取りを行なった歯型のデータや治療計画などに基づいて行う「矯正治療のシミュレーション」の事です。矯正スタート
マウスピースが届いたら、矯正治療スタートです。メンテナンス
マウスピース型矯正装置(インビザライン)による矯正治療が終了したら、綺麗になった歯並びが後戻りしないように、定期的にメンテナンスに通っていただきます。







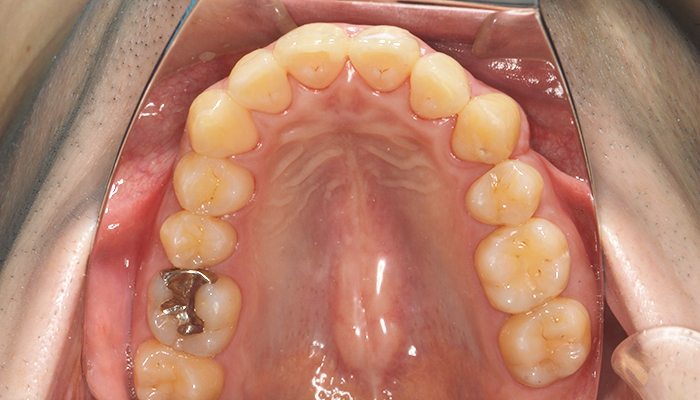
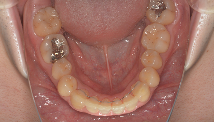
上の片側4番目の歯を1本抜歯しました。その他の健康な歯は抜歯していません。(親知らずは抜歯しています)
ワイヤーだと片側抜歯を行うと正中のラインが抜歯した方向へ流れてしまうことがありますが、今回はマウスピース型矯正装置(インビザライン)で行ったため、そのような反作用は生じませんでした。
抜歯した場合でも治療期間はワイヤーに比べ予定より3ケ月も治療期間を短縮できました。しっかりと定期的なチェックとメンテナンスにも通っていただけたお陰です。
| 期間 | 13ヶ月 |
|---|---|
| 通院回数 | 5回 |
| マウスピースの交換枚数 | 初回:34枚、2回目:11枚 |
| 費用 | ¥840,000 |
| 抜歯 | 片側4番を1本抜歯 |
| 治療内容 | マウスピース型矯正装置(インビザライン)による全体矯正 |
| リスク | 歯根吸収、歯肉退縮、知覚過敏、ディスキング |