2院
板橋1分・立川3分




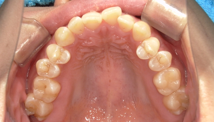
上下前歯のガタガタした歯並びが気になるとのことで当院に来院されました。
患者様のご希望は、矯正装置に希望は特にないが、なるべく治療期間を短くしたいとのことで、可能であれば部分矯正で治したいとおっしゃっていました。
精密検査や担当の矯正医の診断の結果、ワイヤー矯正よりマウスピース型矯正装置(インビザライン)の方が治療期間を短くできることが分かったため、そのことを患者様にお伝えしたところ、マウスピース矯正で治療することに決められました。
また、当初部分矯正を希望されていましたが、精密検査を行ったところ前歯だけではなく奥歯の噛み合わせの改善も必要でしたので、当院からはマウスピース型矯正装置(インビザライン)による全体矯正をご提案いたしました。
治療において下記のような必要性があります。
これらは治療前に詳細に患者様に説明し、ご納得していただいたうえで治療を開始します。
矯正相談・カウンセリング
当院では矯正治療を検討されている患者様に対してカウンセリング(相談会)を行なっています。矯正精密検査
実際の患者様のお口の状況を知るために、口腔内写真、顔面写真、レントゲン撮影、上下顎模型印象、噛み合わせ確認、歯周病検査、デジタル印象などを行なっていきます。クリンチェック作製
クリンチェックとは、型取りを行なった歯型のデータや治療計画などに基づいて行う「矯正治療のシミュレーション」の事です。マウスピースをセット
マウスピースが届いたら、矯正治療スタートです。メンテナンス
マウスピース型矯正装置(インビザライン)による矯正治療が終了したら、綺麗になった歯並びが後戻りしないように、定期的にメンテナンスに通っていただきます。









今回の治療では、健康な歯は抜歯していません。抜歯したのは親知らず1本のみです。
治療期間はワイヤー矯正にした際の治療計画予定と比べ、嬉しいことに約1年間も短縮できました。
また、ワイヤー矯正ではインプラントアンカーが必要でしたが、今回のマウスピース型矯正装置(インビザライン)ではインプラントアンカーの埋入は行わず、治療を終えることができました。
今後の後戻りを心配されていましたが、しっかりと定期的なチェックとメンテナンスにも通っていただけるとお話ししていましたので、後戻りの心配は無用かと思います。
| 期間 | 12ヶ月 |
|---|---|
| 通院回数 | 5回 |
| マウスピースの交換枚数 | 初回:22枚、2回目:15枚 |
| 費用 | ¥750,000 |
| 抜歯 | 無し(親知らずのみ1本抜歯) |
| 治療内容 | マウスピース型矯正装置(インビザライン)による全体矯正 |
| リスク | 歯根吸収、歯肉退縮、知覚過敏、ディスキング |